Image:Roland Gel.JPG
From Wikipedia, the free encyclopedia

Size of this preview: 509 × 480 pixels
Full resolution (518 × 488 pixels, file size: 15 KB, MIME type: image/jpeg)
Summary
This gel was created and imaged by me.
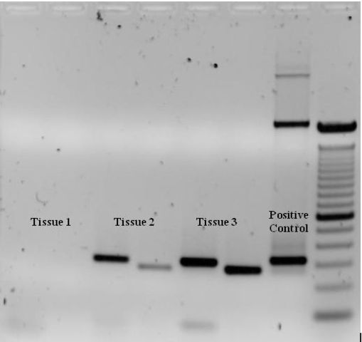
Expression of a specific gene in three separate tissues was tested by two primers. As the gel shows, Tissue #1 lacks that gene, whereas Tissue #2 and #3 possess it. A positive control was used to determine that the PCR conditions were adequate and a 1kb ladder was used to determine the size of the bands.
Licensing
![]() |
I, the copyright holder of this work, hereby release it into the public domain. This applies worldwide. In case this is not legally possible, |
File history
Click on a date/time to view the file as it appeared at that time.
| Date/Time | Dimensions | User | Comment | |
|---|---|---|---|---|
| current | 18:56, 16 September 2006 | 518×488 (15 KB) | Roland Deschain ( Talk | contribs) | (This gel was created and imaged by me. Expression of a specific gene in three seperate tissues was tested by two primers. As the gel shows, Tissue #1 lacks that that gene, whereas Tissue #2 and #3 posses it. A positive control was used to determine tha) |
See the setup instructions for more information.
File links
The following pages on Schools Wikipedia link to this image (list may be incomplete):
Categories: User-created public domain images | Polymerase chain reaction | PCR images
