Image:CD colitis 2.jpg
From Wikipedia, the free encyclopedia

No higher resolution available.
CD_colitis_2.jpg (502 × 447 pixels, file size: 73 KB, MIME type: image/jpeg)
Summary
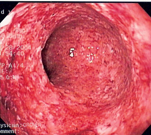
Endoscopic image of severe Crohn's colitis showing diffuse loss of mucosal architecture, friability of mucosa in sigmoid colon and exudate on wall. Photo released into public domain on permission of patient. -- Samir धर्म 07:37, 2 June 2006 (UTC)
Licensing
![]() |
I, the creator of this work, hereby grant the permission to copy, distribute and/or modify this document under the terms of the GNU Free Documentation License, Version 1.2 or any later version published by the Free Software Foundation; with no Invariant Sections, no Front-Cover Texts, and no Back-Cover Texts. Subject to disclaimers. |
File history
Click on a date/time to view the file as it appeared at that time.
| Date/Time | Dimensions | User | Comment | |
|---|---|---|---|---|
| current | 07:37, 2 June 2006 | 502×447 (73 KB) | Samir ( Talk | contribs) | ( Endoscopic image of severe Crohn's colitis showing diffuse loss of mucosal architecture, friability of mucosa in sigmoid colon and exudate on wall. Photo released into public domain on permission) |
See the setup instructions for more information.
File links
The following file is a duplicate of this file:
The following pages on Schools Wikipedia link to this image (list may be incomplete):
Categories: Self-published work | Endoscopic images
